食道がん、胃がん、大腸がん、肝臓がん、膵臓がん、胆道がん
消化器内科では消化器系のあらゆるがんの内科的治療をおこなっています。早期の食道がんや胃がん、大腸がんでは内視鏡的粘膜下層剥離術(ESD)という技術を用いて内視鏡的胃に切除することにより根治が得られるものがあり、当院では香川大学消化器神経内科の専門の医師の協力のもとに年間30例程度の手術をおこなっています。胆道がんや膵臓がんでは内視鏡的膵胆管造影や超音波内視鏡などの具術を用いて正確な診断をおこなうとともに、閉塞性黄疸に対する胆道ステントなどの治療をおこなっています。手術ができないような進行がんでは抗がん剤治療をおこないますが、当院では岡山大学病院と連携することにより、最新のがんパネル検査をおこなっています。肝臓がんでは初期のがんではラジオ波治療や肝動脈塞栓術といった患者様の負担の少ない治療をおこなっています。進行がんでは肝動脈内に抗がん剤を持続的に注入する肝動注療法や免疫チェックポイント阻害剤を用いた化学療法などがんの進行度に応じていろいろな治療をおこなっています。


中央の胃がんの部分の粘膜だけを切除


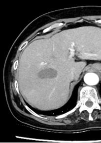
中央の肝臓がんの部分のみを焼灼
消化器内科では消化器系のすべてのがんの診療をおこなっていますが、内科の仕事のもっとも大事な点は患者様の症状をよく聞いて、必要な検査の計画をたて、正確な診断を行って、少しでも早く治療に結びつける事です。診断のための検査として、内視鏡検査を受けて頂くことが多いですが、胃カメラにしても大腸内視鏡にしても苦痛を伴う検査であります。我々は患者様の苦痛を少しでも軽減し、できるだけ短時間で検査を終了できるように心がけています。治療においても内視鏡的切除やラジオ波治療など患者様にとって苦痛が少なく後遺症の残らない治療を積極的に行っています。消化器系の症状(食欲不振、体重減少、腹痛や背部痛、便秘、下痢など)で気になることがあればまずは消化器内科を受診してみてください。(なお本文中の治療はすべての患者様に行える治療ではなく、必ずしも結果を保証するものではありません。)